
Гигиена полости рта с использованием зубных паст, щеток, ниток и ополаскивателей не дает никакого результата и ты вынужден раз за разом освежать дыхание в течение дня? Причина неприятного запаха может крыться в казеозных пробках, находящихся в горле.
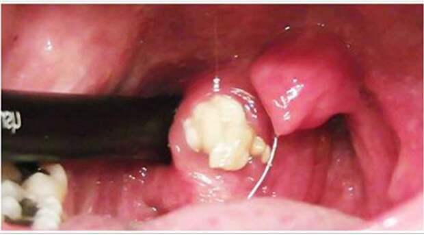
Пробки в горле
Это желто-белые комочки творожистой консистенции с очень неприятным запахом, которые, как правило, образуются в результате хронического воспалительного заболевания глотки и миндалин — тонзиллита.
Народная медицина располагает рядом средств, чтобы избавиться от тонзиллитных пробок.
Полоскание содой
В 200 мл теплой кипяченой воды раствори 0,5 ч. л. соды, 0,5 ч. л. соли и 2–3 капли йода. Активно полощи этим раствором горло несколько раз в день, сильно запрокидывая назад голову. Жидкость лучше не глотать.
Полоскание водкой
Весьма экстравагантный, но эффективный способ! После процедуры за руль лучше не садиться…
Полоскание травами
Смешай в равных частях сухие цветы ромашки, шалфей, тысячелистник. Залей 2 ст. л. смеси стаканом кипятка, дай настояться и остуди до комнатной температуры.
Выдавливать или выковыривать тонзиллитные пробки самостоятельно крайне не рекомендуется из-за большой вероятности травмирования миндалин и гортани. Для этой процедуры лучше обратиться к врачу.
Видеоролик ниже — не для слабонервных. Это демонстрация того, сколько всего может скрываться в лакунах миндалин.
Помимо полосканий, отличные положительные результаты дает поза льва, используемая в йоге для лечения хронических и острых заболеваний горла. Все, кто опробовал этот метод, об ангине уже забыли!
Если статья произвела на тебя впечатление, поделись ею с друзьями!
Свежие комментарии